• الرئيسية
  • الأخبار
  • حول
    • حول الكلية
    • كلمة العميد
    • مجلس الكلية
    • الهيكل التنظيمي
  • المعرض
  • المكتبة
  • النشاطات
    • النشاطات
    • المقالات
    • الجوائز
    • براءات الاختراع
    • الورش
    • المؤتمرات
    • الاعلانات
  • الأحداث القادمة
  • الكادر
  • البرنامج الأكاديمي
  • مشاريع التخرج
  • المحاضرات
  • الخدمات الإلكترونية
  • English
default image default image default image
default image
default image
default image

مقالــــة علميــــة للتدريسيــــة م.م رؤى علـــي طالـب بعنـــوان :- فقر الدم الناتج عن نقص الحديد (Iron Deficiency Anemia)

03/09/2019
  مشاركة :          
  3033

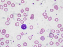
فقر الدم الناتج عن نقص الحديد: (Iron Deficiency Anemia ) :-هو أشهر أنواع فقر الدم . وينتج هذا النوع من فقر الدم نتيجة لنقص الحديد في الجسم وتكمن أهمية الحديد في إنتاج خضاب الدم (الهيموغلوبين) (hemoglobin) (بروتين يوجد في كريات الدم الحمراء ويساهم في نقل الأوكسجين .(ونتيجة لنقص الخضاب تكون كريات الدم الحمراء أصغر من الحجم الطبيعي فيما يعرف بفقر الدم صغير الكريات ويكون تركيز الخضاب أقل من التركيز الطبيعي. وبشكل عام النساء أكثر عرضة من الرجال للإصابة بفقر الدم الناتج عن نقص الحديد.<br /><br />الأعـــــراض : <br />في بداية المرض، قد يكون فقر الدم خفيفا حيث يختفي دون الانتباه إليه. لكن عندما يصبح نقص الحديد كبيرا يتفاقم المرض وتظهر الأعراض. يمكن أن تشمل أعراض المرض ما يلي : )التعب الشديد ، شحوب البشرة ، الضعف ، ضيق في التنفس ، ألم في الصدر ،التهابات متكررة ، صداع الرأس ، الدوخة أو الدوار ، برودة اليدين والقدمين ، التهاب أو تقرح اللسان ، تكسر الأظافر ، سرعة ضربات القلب ، الرغبة الشديدة غير العادية في تناول المواد غير المغذية، مثل الثلج أو القاذورات ، ضعف الشهية، خاصة عند الرضع والأطفال والشعور بعدم الراحة أو وخز في الساقين .<br /><br />الأسبـــــاب : <br />يظهر المرض عندما لا يحصل الجسم على كمية كافية من الحديد لإنتاج الخضاب الدموي( hemoglobin ) ، أحد مكونات خلايا الدم الحمراء التي تعطي اللون الأحمر للدم، وتساهم في نقل الأكسجين إلى مختلف أنسجة الجسم. ويحدث ذلك عند عدم استهلاك ما يكفي من الحديد أو فقدان نسبة مهمة منه، حيث لا يستطيع الجسم إنتاج كمية كافية من الخضاب الدموي . يمكن إجمال أسباب المرض في ما يلي : <br />1- النزيف الدموي: يحتوي الدم على الحديد في الكريات الحمراء، وكل نزيف يُفقد الجسم كمية منه، كما هو الحال بالنسبة للنساء خلال فترة الحيض، والنزيف الداخلي المزمن بسبب القرحة المعدية ، كما يمكن أن ينجم عن التناول المنتظم لبعض مسكنات الألم دون وصفة طبية خصوصا الأسبرين .<br />2- نقص الحديد في النظام الغذائي: يحصل الجسم على الحديد من الأغذية التي يتناولها، وكلما كان استهلاك الحديد قليلا جدا، يظهر النقص مع مرور الوقت. ومن الأغذية الغنية بالحديد نذكر: اللحوم والبيض والخضروات الورقية الخضراء والأطعمة المدعمة بالحديد<br />3- ضعف امتصاص الحديد في الجسم: يُمتص الحديد على مستوى الأمعاء الدقيقة، وكل خلل في وظيفتها قد يؤثر في قدرتها على امتصاص المواد المغذية من الطعام المهضوم.<br />4- الحمل: في غياب مكملات الحديد، قد تعاني النساء الحوامل من فقر الدم بسبب نقص الحديد، وذلك نظرا لزيادة احتياجاتهن الخاصة وتلك المتعلقة ينمو الجنين .<br />5- العدوى ببعض أنواع الديدان كالدودة الشصية (Hookworm) و في جميع أنحاء العالم، السبب الأكثر شيوعا لنقص الحديد وفقر الدم هو الإصابة الطفيلية )دودة الانكليستوما، الاميبا، البلهارسيا والدودة السوطية.<br /><br />التشخيــــــص:<br /> -1 العد الدموي الشامل : ( Complete blood count )<br />انخفاض في )عد الكريات الدم الحمراء ، مستوى هيموغلوبين ونسبة الهيماتوكريت، الحجم الكروي الوسطي MCV<80fl ) -2 تحاليل مخزون الحديد <br /> انخفاض مستوى الحديد المصل مستوى طبيعي μg/dl 50-150) ) .<br /> انخفاض فيريتين 155- مستوى طبيعي: رجال 55 μg/L - والنساء 15<br />(55 μg/L<br /> زيادة في السعة الكلية للارتباط بالحديد وترانسفيرين <br /> انخفاض في نسبة الإشباع المئوي للترانسفرين <br />3- اللطاخة الدموية : ( Blood smear ) <br />تظهر كريات الدم الحمراء باللطاخة الدموية تحت المجهر كصغيرة الحجم ناقصة الصباغ ولذا يدعى أيضاً بفقر الدم صغير الكريات ناقص الصباغ . يظهر أيضا باللطاخة الدموية اختلاف في حجم الكريات الحمراء<br />Anisocytosisوشكلها Poikilocytosis.<br /><br />العـــــــلاج : <br />الطبيب وحده من يمكنه تحديد نوع العلاج، وفي أغلب الحالات تُستعمل مكملات الحديد، وقد ينصح الطبيب بتناولها مع عصير البرتقال أو مكملات الفيتامين “سي” لأنه يساعد على امتصاص الحديد . <br /><br />الوقايـــــــة : <br />يمكن التقليل من خطر الإصابة بفقر الدم الناتج عن نقص الحديد عن طريق استهلاك الأطعمة الغنية بالحديد، مثل: اللحوم الحمراء، الدواجن، المأكولات<br />البحرية، الفاصوليا، الخضار الورقية الخضراء، الفواكه المجففة، الحبوب المدعمة بالحديد … يمتص الجسم الحديد من اللحوم بشكل أفضل من المصادر الأخرى، وفي حالة الرغبة في عدم استهلاكها، قد يتطلب الأمر زيادة كمية الأطعمة ذات الأصل النباتي الغنية بالحديد لامتصاص كمية منه تعادل تلك التي يستفيد منها من يأكل اللحوم . لتعزيز امتصاص الحديد يُستحسن إرفاق الأغذية الغنية بالحديد بأطعمة تحتوي على فيتامين “سي”، لأنه يساعد على امتصاص الحديد بشكل أفضل.<br />

جامعة المستقبل

مؤسسة تعليمية تابعة لوزارة التعليم العالي والبحث العلمي في العراق

روابط مهمة

وزارة التعليم العالي

اللجنة التوجيهية

المدراء

الأكاديميون

الكادر التدريسي

الطلبة

أنظمة الدراسات

عملية التقييم

الهيكل التنظيمي

القواعد واللوائح

معلومات الخريجين

المواقع البحثية

Scopus

Research Gate

Google Scholar

ORCID

Web Of Science

مركز المساعدة

حول الجامعة

الكليات والأقسام

البوبات الألكترونية

دليل الجامعة

تواصل معنا

جامعة المستقبل - جميع الحقوق محفوظة ©2025