• الرئيسية
  • الأخبار
  • حول
    • كلمة العميد
    • مجلس الكلية
    • الهيكل التنظيمي
  • الصور
  • المكتبة
  • النشاطات
    • النشاطات
    • المقالات
    • الجوائز
    • براءات الاختراع
    • الورش
    • المؤتمرات
  • الاعلانات
  • الكادر
  • البرنامج الأكاديمي
  • مشاريع التخرج
  • المحاضرات
  • تواصل معنا
default image default image default image
default image
default image
default image

مقالة علمية م.م.دعاء عادل بعنوان تأثير التدخين على الاسنان

16/09/2019
  مشاركة :          
  4592

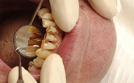
يعتبر التدخين أحد الأسباب الرئيسية لسرطان الفموالحلق، فضرره لا يقتصر فقط على تلون الأسنان والتهابات اللثة، بل يتعداه إلى الأورام التي قد تكون وخيمة. وترتفع مخاطر الإصابة بسرطانات الفم إذا كان الشخص المدخن يشرب الخمر أيضا.<br />ويتمثل التأثير السلبي للتدخين على اسنان المدخن smoker teeth في امراض اللثة والاسنان بالاضافة الى احتمالية فقدان الاسنان ، ان الاشخاص الشرهة في تدخين التبغ )السكائر ، او السيجار ، الغليون ( يكون احتمالية تعرضهم لمخاطر فقدان الاسنان كبير جدا.<br />يؤدي التدخين إلى تقليل تدفق الدم في اللثة والأنسجة الداعمة للسن مما يجعلها أكثر عرضة للالتهاب. كما أنه قد يغير طبيعة البكتيريا ويزيد من تراكمها في الترسبات الصفراء التي تتراكم على الاسنانplaque تلك المادة الغرائية البيضاء التي تتراكم على الاسنان في حالة عدم غسل الاسنان بالمعجون والفرشاة. هذه الترسبات تساعد في اضطرتب الاسنان واذا كان الشخص<br />مدخن فان دخان التبغ يساعد على تكون البكتريا في هذه الترسبات ووجود هذه البكتريا ينتج عنها التهاب الاسنان ويزداد تاثيرها ليشمل الفك وبالتالي فقدان الاسنان لتدهور حالة اللثة وضعفها ولذا فان امراض اللثة يطلق عليها القاتل الصامت للاسنان.<br />لأن التدخين يؤدي إلى نقصان تدفق الدم في اللثة، فقد لا تظهر على لثة المدخن العلامات التحذيرية الأولية المصاحبة لالتهاب اللثة مثل النزف، بل يتطور المرض بسرعة إلى مراحل أكثر صعوبة، بينما يظن المدخن أن أسنانه بخير. ونتيجة عدم وصول تدفق الدم ل انسجة الفم بالتالي عدم وصول المواد الغذائية للعظام التي تحيط بالاسنان يؤدي الى الاصابة بسرطان الفم والبلعوم . مع كل نفس من دخان السجائر فان الشخص يتنفس مايقارب 4,700 مادة كيميائية ضارة وسامة من بينها الفورمالديهايد واول اوكسيد الكاربون والامونيا.<br />يمكن تصنيف آثار التدخين على الفم والأسنان في ثلاث مجموعات هي:<br />1-الأسنان:<br />تلون الأسنان بأصباغ بنية اللون قد تميل إلى السواد. يشمل التلون أيضا التركيبات السنية مثل الحشوات السنية وأطقم الأسنان. زيادة احتمالية تسوس الأسنان. رفع مخاطر فقدان الأسنان.<br />2-اللثة:<br />التهاب اللثة )gingivitis(. التهاب دعائم السن )periodontitis(. تراجع العظم السنخي الذي يدعم جذور الأسنان. نتيجة تراجع مستوى العظم السنخي يتراجع مستوى اللثة، مما يؤدي إلى تكون فراغات بين الأسنان. تلون اللثة عبر ظهور بقع بنية عليها.<br />زيادة معدل تجمع اللويحة الجرثومية )البلاك( والتكلسات على الأسنان.<br />3-أنسجة الفم واللسان:<br />رائحة الفم الكريهة )بخر الفم(.<br />تراجع القدرة على التذوق.<br />تراجع نشاط بعض الأنزيمات الموجودة في اللعاب نتيجة المواد الكيميائية الكائنة في التبغ.<br />زيادة مخاطر ظهور "ليكوبليكيا" )leukoplakia(، وهي آفة بيضاء اللون في الفم يمكن أن تتطور إلى سرطان.<br />زيادة احتمالية الإصابة بسرطانات الفم.<br />تجمع البكتيريا والفطريات ونموها على اللسان، مما يؤدي إلى حالة تسمى اللسان الأسود المشعر )black hairy tongue(، وفيها يظهر اللسان وكأن عليه شعرا أسود اللون، وما هو إلا النمو البكتيري والفطري بين أخاديد اللسان.<br />يصبح سقف الحلق أكثر سمكا ويميل لونه إلى البياض. تأخر شفاء أنسجة الفم بعد العلاجات السنية، مثل خلع الأسنان أو علاج اللثة أو جراحة الفم. يؤثر التدخين على جهاز المناعة مما يجعل المدخن أكثر عرضة للإصابة بالعدوى البكتيرية.<br /><br />كيفية وقاية الاسنان والفم : - التوقف عن التدخين -المتابعة الدورية مع طبيب الاسنان كل ٣ اشهر من اجل تنظيف الاسنان وازالة الجير المتراكم -غسل الاسنان بالمعجون والفرشاة مرتين عالاقل - استخدام الغسول الفموي الذي يحتوي على مضاد للبكتريا<br />

جامعة المستقبل

مؤسسة تعليمية تابعة لوزارة التعليم العالي والبحث العلمي في العراق

روابط مهمة

وزارة التعليم العالي

اللجنة التوجيهية

المدراء

الأكاديميون

الكادر التدريسي

الطلبة

أنظمة الدراسات

عملية التقييم

الهيكل التنظيمي

القواعد واللوائح

معلومات الخريجين

المواقع البحثية

Scopus

Research Gate

Google Scholar

ORCID

Web Of Science

مركز المساعدة

حول الجامعة

الكليات والأقسام

البوبات الألكترونية

دليل الجامعة

تواصل معنا

جامعة المستقبل - جميع الحقوق محفوظة ©2025