• الرئيسية
  • الأخبار
  • حول
    • حول الكلية
    • كلمة العميد
    • مجلس الكلية
    • الهيكل التنظيمي
  • المعرض
  • المكتبة
  • النشاطات
    • النشاطات
    • المقالات
    • الجوائز
    • براءات الاختراع
    • الورش
    • المؤتمرات
    • الاعلانات
  • الأحداث القادمة
  • الكادر
  • البرنامج الأكاديمي
  • مشاريع التخرج
  • المحاضرات
  • الخدمات الإلكترونية
  • English
default image default image default image default image
default image
default image
default image
default image

COPD in The Future of Iraqi Society

10/03/2023
  مشاركة :          
  923

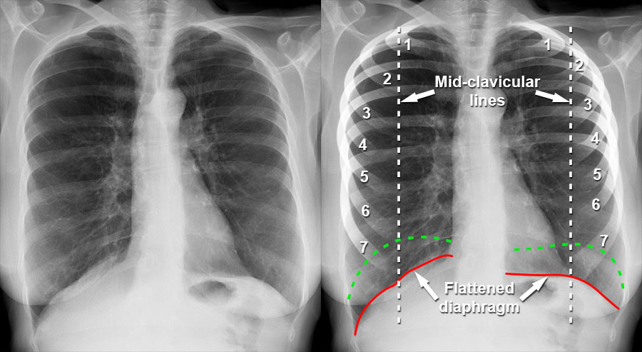
Since the beginning of the year 1980 and at the beginning of the first days of the Iran-Iraq war, which lasted 8 years, and because of the lack of resources and the many sad situations that began to appear clearly on the Iraqi people, and after entering Iraq into a war with the neighboring country Kuwait, it fell ill in 1990 and Iraq invaded it and the occurrence of the popular uprising in 1991 and the siege began on Iraq by the United Nations, and since then, there have been clear signs of Iraqis going to smoke, clearly and extensively, as an alternative and to alleviate the pain and suffering experienced by these people. Therefore, one of the most important and violent diseases caused by smoking appeared in Iraq..which is COPD<br /><br />COPD is a common disease that mainly affects middle-aged or elderly smokers. many people don't know they have it<br /><br />1. Introduction<br /> Since the beginning of the year 1980 and at the beginning of the first days of the Iran-Iraq war, which lasted 8 years, and because of the lack of resources and the many sad situations that began to appear clearly on the Iraqi people, and after entering Iraq into a war with the neighboring country Kuwait, it fell ill in 1990 and Iraq invaded it and the occurrence of the popular uprising in 1991 and the siege began on Iraq by the United Nations, and since then, there have been clear signs of Iraqis going to smoke, clearly and extensively, as an alternative and to alleviate the pain and suffering experienced by these people. Therefore, one of the most important and violent diseases caused by smoking appeared in Iraq..which is COPD<br />It is estimated that Iraqis consume daily cigarettes worth $1.8 million, the bulk of which goes to importing cigarettes through smuggling from Iraq’s neighboring countries, at a time when the percentage of smokers in the country is estimated at 35% of both sexes, which means that the total number of smokers is About 14 million Iraqis out of a total of 42 million.<br /> 2. patient and methods<br />Smoking in Iraq is a widespread and culturally acceptable behavior in Iraqi society. Since 2003, there has been a lot of pressure from the government to enforce strict smoking rules. In 2009 it became illegal to smoke in or around public buildings, although the ban remains unpopular with the Iraqi public and its enforcement is patchy.<br /><br />A 2015 study by health advocates stated that about 55 Iraqis die every day from tobacco-related illnesses. Compared to 10 people dying daily in Iraq due to terrorism and violence..<br />Smoking in Iraq is a widespread and culturally acceptable behavior in Iraqi society. Since 2003, there has been a lot of pressure from the government to enforce strict smoking rules. In 2009 it became illegal to smoke in or around public buildings, although the ban remains unpopular with the Iraqi public and its enforcement is patchy.<br /><br />A 2015 study by health advocates stated that about 55 Iraqis die every day from tobacco-related illnesses. Compared to 10 people dying daily in Iraq due to terrorism and violence.<br />Tobacco advertising is in theory prohibited, and it is illegal to smoke in public, but these laws are not systematically enforced. A 2015 survey by the World Health Organization found that there were multiple billboards throughout the capital Baghdad promoting tobacco as well as in hospitals and schools. The same survey found that 13% of Iraqi districts do not have smoking cessation programs aimed at helping smokers quit.<br /><br />Government taxes on cigarettes are high but relatively low at less than 50%; Most packages sell for less than a dollar<br />3. Results <br />In many cases that suffer from COPD we found that the progression of the disease leads to a complete collapse of the respiratory system, which necessitates a full intervention and the admission of the patient to the intensive care ward because of the patient's need for artificial respiration, and for this we had to train the workers intensively on how to Dealing with such patients also training staff in the intensive care department who are graduates of anesthesia and intensive care techniques on how to secure the airway and blood supply and how to ensure the complete function-ing of the respiratory system<br />4-discussion<br /> The results of the article include that in the future we must open several halls and specialized centers for the treat-ment of patients COPD especially the opening of special centers in intensive care in all hospitals and from all levels first, secondary and tertiary, and lounges must be provided such as ... because an increase in the number of Iraqi smokers may lead to In the coming days, there will be a significant increase in the number of patients suffering from COPD<br /><br />بواسطة : م. كرار نادر عبد عون

جامعة المستقبل

مؤسسة تعليمية تابعة لوزارة التعليم العالي والبحث العلمي في العراق

روابط مهمة

وزارة التعليم العالي

اللجنة التوجيهية

المدراء

الأكاديميون

الكادر التدريسي

الطلبة

أنظمة الدراسات

عملية التقييم

الهيكل التنظيمي

القواعد واللوائح

معلومات الخريجين

المواقع البحثية

Scopus

Research Gate

Google Scholar

ORCID

Web Of Science

مركز المساعدة

حول الجامعة

الكليات والأقسام

البوبات الألكترونية

دليل الجامعة

تواصل معنا

جامعة المستقبل - جميع الحقوق محفوظة ©2025