• الرئيسية
  • الأخبار
  • حول
    • حول الكلية
    • كلمة العميد
    • مجلس الكلية
    • الهيكل التنظيمي
  • المعرض
  • المكتبة
  • النشاطات
    • النشاطات
    • المقالات
    • الجوائز
    • براءات الاختراع
    • الورش
    • المؤتمرات
    • الاعلانات
  • الأحداث القادمة
  • الكادر
  • البرنامج الأكاديمي
  • مشاريع التخرج
  • المحاضرات
  • الخدمات الإلكترونية
  • English
default image default image default image
default image
default image
default image

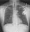
اعتلال عضلة القلب

02/02/2022
  مشاركة :          
  499

اعتلال عضلة القلب هو مجموعة من الأمراض التي تصيب عضلة القلب.<br />تشمل أنواع اعتلال عضلة القلب:<br />1- اعتلال عضلة القلب التضخمي<br />2- اعتلال عضلة القلب التوسعي<br />3- اعتلال عضلة القلب المقيد<br />4- خلل نسيج البطين الأيمن المولد لخلل ايقاع القلب.<br />في اعتلال عضلة القلب التضخمي ، تتضخم عضلة القلب وتزداد سماكة سببها الرئيسي وراثي.<br /> في اعتلال عضلة القلب التوسعي ، يتضخم البطينان ويضعفان أسبابه بشكل أساسي تكون ثانوية للعدوى الفيروسية وادمان الكحول وأمراض القلب التاجية ولكن يتم تسجيل الوراثة أيضًا.<br />في حالة اعتلال عضلة القلب المقيد ، يتيبس البطين. أسبابه هي الداء النشواني وداء ترسب الأصبغة الدموية وبعض علاجات السرطان <br /> تشمل أعراض اعتلال عضلة القلب الإرهاق وتورم الأطراف السفلية وضيق التنفس بعد المجهود. قد تشمل الأعراض الإضافية للحالة عدم انتظام ضربات القلب ، والإغماء ، والدوخة ، والمصابون أكثر عرضة لخطر الموت القلبي المفاجئ.<br />قد يشمل العلاج اقتراح تغييرات في نمط الحياة لإدارة الحالة بشكل أفضل. يعتمد العلاج على نوع اعتلال عضلة القلب وحالة المرض ، ولكنه قد يشمل الأدوية (العلاج المحافظ) أو منظم ضربات القلب الدوائي /او الاجهزة المزروعة لتنظيم ضربات القلب البطيئة ، وأجهزة تنظيم ضربات القلب لأولئك المعرضين لإيقاعات القلب القاتلة ، وأجهزة مساعدة البطين (VADs) لفشل القلب الشديد ، أو الاجتثاث (الكي الكهربائي) لاضطراب الايقاع المتكرر الذي لا يمكن القضاء عليه عن طريق الأدوية أو تقويم نظم القلب الميكانيكي. غالبًا ما يكون الهدف من العلاج هو تخفيف الأعراض.ُيعتقد أن المضاعفات القلبية الوعائية لـ COVID-19 هي مزيج من الإصابة الفيروسية المباشرة والاستجابة المناعية للمضيف مما يؤدي إلى التهاب الأوعية الدموية والتهاب عضلة القلب ، واعتلال عضلة القلب (CMPs) الناتج عن إصابة عضلة القلب ، من بين الأسباب الرئيسية للموت المفاجئ للمراهقين . للاسف لا تزال عمليات زراعة القلب بعيدة عن متناول الاطباء والمرضى اذ انها نظريا تعتبر الخيار الاخير لكثير من حالات اعتلال عضلة القلب.

جامعة المستقبل

مؤسسة تعليمية تابعة لوزارة التعليم العالي والبحث العلمي في العراق

روابط مهمة

وزارة التعليم العالي

اللجنة التوجيهية

المدراء

الأكاديميون

الكادر التدريسي

الطلبة

أنظمة الدراسات

عملية التقييم

الهيكل التنظيمي

القواعد واللوائح

معلومات الخريجين

المواقع البحثية

Scopus

Research Gate

Google Scholar

ORCID

Web Of Science

مركز المساعدة

حول الجامعة

الكليات والأقسام

البوبات الألكترونية

دليل الجامعة

تواصل معنا

جامعة المستقبل - جميع الحقوق محفوظة ©2025