Scientific article by Dr. Ali Ihsan Al-Qurashi entitled Oligodontia

16/10/2020   Share :        
2560  

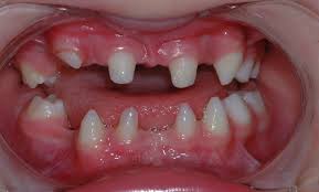
Oligodontia is a rare developmental dental anomaly in humans, The prevalence of isolated oligodontia is unknown. In European populations the estimated prevalence of both syndromic and non-syndromic oligodontia varies from 1/625 to 1/1,250 depending on the studies.<br />Typical main clinical features: More than six teeth missing. <br />Diagnosis: Clinical. <br />Investigations: Dental X-rays. <br />Management: Prosthetic treatment.