• الرئيسية
  • الأخبار
  • المعرض
  • المكتبة
  • النشاطات
    • النشاطات
    • المقالات
    • الجوائز
    • براءات الاختراع
    • الورش
    • المؤتمرات
    • الاعلانات
  • الأحداث القادمة
  • الكادر
  • البرنامج الأكاديمي
  • مشاريع التخرج
  • المحاضرات
  • تواصل معنا
  • English
default image default image default image default image
default image
default image
default image
default image

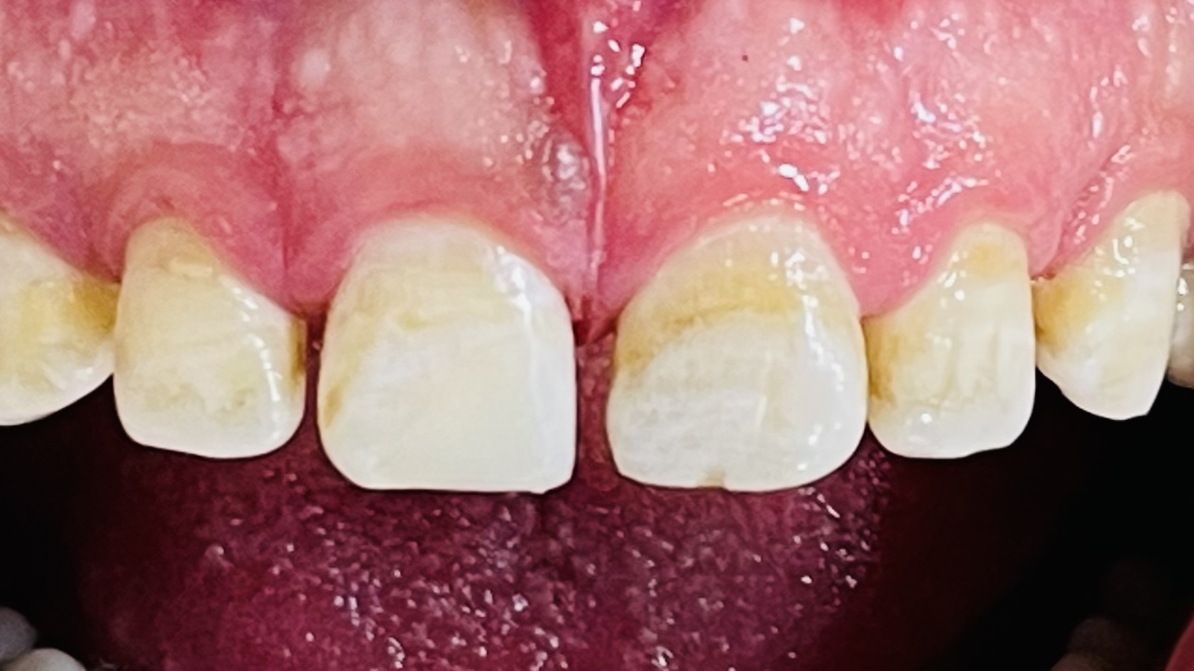
أجراء حشوات امامية مميزة في عيادة معالجة الأسنان

30/10/2022
  مشاركة :          
  274

جانب من أبداع طلبة قسم طب الاسنان في أجراء مجموعة من الحشوات الأمامية لمجموعة من المرضى وتم عملهم تحت أشراف الدكتور الحمزة ثامر

جامعة المستقبل

مؤسسة تعليمية تابعة لوزارة التعليم العالي والبحث العلمي في العراق

روابط مهمة

وزارة التعليم العالي

اللجنة التوجيهية

المدراء

الأكاديميون

الكادر التدريسي

الطلبة

أنظمة الدراسات

عملية التقييم

الهيكل التنظيمي

القواعد واللوائح

معلومات الخريجين

المواقع البحثية

Scopus

Research Gate

Google Scholar

ORCID

Web Of Science

مركز المساعدة

حول الجامعة

الكليات والأقسام

البوبات الألكترونية

دليل الجامعة

تواصل معنا

جامعة المستقبل - جميع الحقوق محفوظة ©2025