Scientific article by Dr. Ali Ihsan Al-Qurashi entitled Hyperdontia

  Share :          
  2476

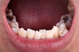
Hyperdontia is the condition of having supernumerary teeth, or teeth that appear in addition to the regular number of teeth (32 in the average adult). They can appear in any area of the dental arch and can affect any dental organ. The opposite of hyperdontia is hypodontia, where there is a congenital lack of teeth, which is a condition seen more commonly than hyperdontia. The scientific definition of hyperdontia is "any tooth or odontogenic structure that is formed from tooth germ in excess of usual number for any given region of the dental arch." The additional teeth, which may be few or many, can occur on any place in the dental arch. Their arrangement may be symmetrical or non-symmetrical.<br />Typical main clinical features: Extra teeth directly behind or close to primary or permanent teeth.<br />Diagnosis: Clinical. <br />Investigations: Dental X-rays. <br />Management: Removal of supernumerary teeth. <br />