☰
Home
News
Gallery
Library
Activities
Activities
Articles
Awards
Patents
Workshops
Scientific conferences
Announcement
Upcoming Events
Staff
Academic Program
Projects
Lectures
Questionnaires
Contact
Login
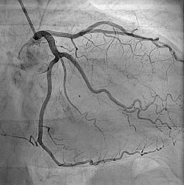
Angiography Karar haider abd al hussein
26/01/2021
Share :
1408