" Symptoms and causes disease inflammation Gingivitis " by ghadeer talib

  Share :          
  344

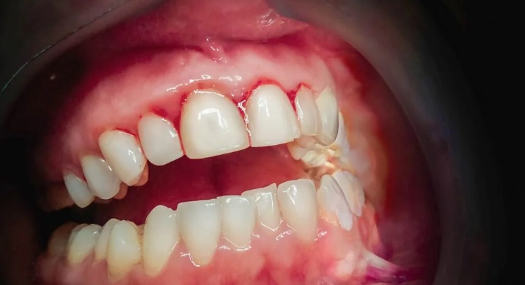
People with gingivitis have inflamed gum tissue around their teeth. This condition is caused by bacteria found in dental plaque. Normal, healthy gums should be firmly attached to the teeth and underlying bone. Gingivitis usually causes little or no pain and you may not even notice it. If left unchecked, however, it can progress deeper and become severe. In some people, gingivitis develops into periodontitis, which can lead to tooth loss.<br />Plaque is a sticky film that collects on your teeth, especially in crevices and spaces or around rough or broken fillings. bacteria in plaque produce substances that can harm the gums. If plaque is not removed, it hardens and forms tartar or calculus. Calculus provides more rough surfaces for bacteria to bind to and grow. The result is gingivitis.<br />Gum disease and gingivitis in particular are common. Almost 3 out of 4 adults over the age of 35* have had some form of gum disease in their lifetime. Certain groups are at increased risk of suffering from gum disease:<br />• People with poorly controlled diabetes.<br />• Pregnant women and women taking some forms of birth control pills.<br />• People taking certain medications. Certain prescription drugs can cause gums to overgrow and become inflamed.<br />What causes gingivitis?<br />Gingivitis is known as the earliest stage of gum disease and occurs when plaque or tartar builds up around your gumline and causes your gums to become inflamed. This inflammation can cause the gums to become bright red, swell, feel tender and even bleed after brushing or flossing. However, not everyone with gingivitis experiences these symptoms, and many have the condition for a long time without even realising it. If left untreated, gingivitis can lead to more severe forms of gum disease, such as periodontitis, which can cause permanent damage to your teeth, gums and jawbone.<br />What are the symptoms of gingivitis?<br />Some of the most common symptoms of gingivitis include:<br />• Swollen or puffy gums<br />• Red, inflamed gums that look darker than usual<br />• Gums that bleed when you brush or floss<br />• Bad breath<br />• Gums that are tender to touch<br />How to diagnose gingivitis<br />Your dentist will examine and probe your gums and look for tartar deposits on your teeth and under the gumline. The dentist will also record the sites where your gums bleed as you’re being examined. Make sure your dentist knows the medicines you are taking – it's possible that some of them may be contributing to your gingivitis.<br />How long does gingivitis last?<br />Gingivitis can disappear within a few weeks once you start a program of good daily oral hygiene. If plaque continues to build up, gingivitis is likely to remain. It could progress and turn into periodontitis. This can then lead to loss of supporting tissue and bone around teeth.<br />Is gingivitis curable?<br />Thankfully, yes. If you notice your gums bleed when you brush your teeth, make an appointment with your dentist for a thorough checkup and professional cleaning. Once you start a good dental hygiene routine and get any necessary treatment, symptoms of gingivitis can disappear in as little as a few weeks.<br />How to prevent gingivitis<br />If you’re wondering how to prevent gingivitis, the best thing to do is to stick to a good oral hygiene routine every day. Brush your teeth twice a day, in the morning and last thing at night, using a fluoride toothpaste. Floss your teeth at least once a day. Make sure you use a toothbrush that suits your needs – your dentist can advise what brush is best for your teeth.<br />Your dentist will determine how often you’ll need to have your teeth professionally cleaned. This can help prevent plaque from being left behind in hard to reach areas of your mouth and will also remove tartar that’s already formed.<br />How to treat gingivitis<br />Gingivitis can be reversed if you remove the bacteria that attach and grow on your teeth every day. Using an antibacterial mouthwash can help to destroy the unhealthy bacteria in your mouth, you can use this twice a day for around two weeks.<br />If you have symptoms of gingivitis, make sure you get your teeth professionally cleaned at the dentist. This procedure is called a scale and polish, and it’s designed to remove plaque from around the gumline. Your dentist or dental hygienist can also explain the most effective methods of brushing and flossing. If gingivitis has progressed to periodontitis, you’ll need additional treatment – your dentist can let you know the extent of your gum disease.<br />Additional information available from:<br />• British society of Periodontology<br />