• Home
  • News
  • Gallery
  • Library
  • Activities
    • Activities
    • Articles
    • Awards
    • Patents
    • Workshops
    • Scientific conferences
  • Announcement
  • Upcoming Events
  • Staff
  • Academic Program
  • Projects
  • Lectures
  • Questionnaires
  • Contact
  • Login

News & Activities

م.د محمد جواد Introduction to Nanotechnology Applications
21 Feb

م.د محمد جواد Introduction to Nanotechnology Applications

Feb 21, 2022 Read More
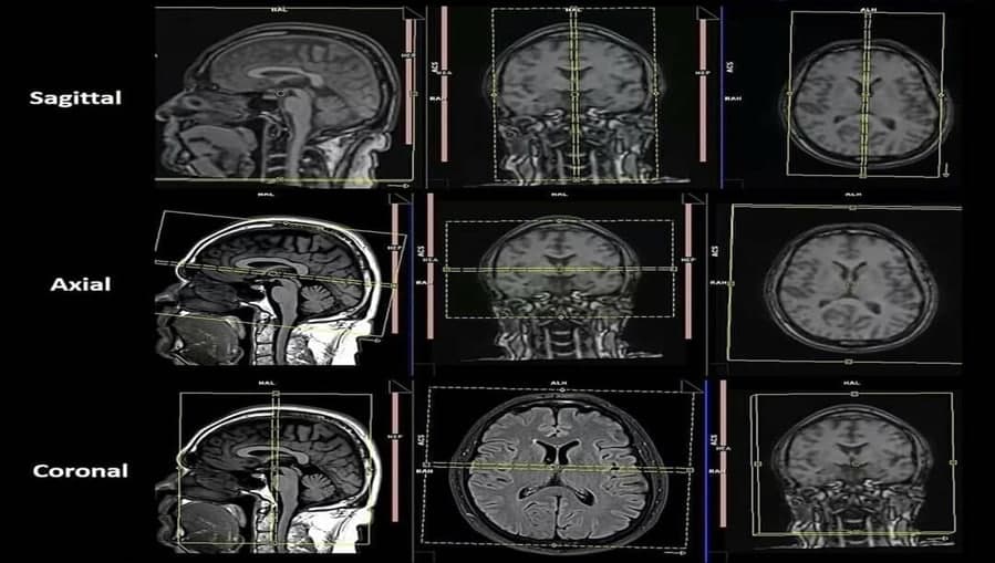
Protocol for Routine MR Imaging of the Brain م.م علي هاني كريم
13 Feb

Protocol for Routine MR Imaging of the Brain م.م علي هاني كريم

Feb 13, 2022 Read More
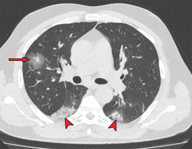
Role CT scan in COVID -19pneumonia د. عفراء جاسم
13 Feb

Role CT scan in COVID -19pneumonia د. عفراء جاسم

Feb 13, 2022 Read More
COVID-19 And The Risk Of Pulmonary Venous Thromboembolism/م.د علي رضا
5 Feb

COVID-19 And The Risk Of Pulmonary Venous Thromboembolism/م.د علي رضا

Feb 05, 2022 Read More
Antibiotic resistance
16 Feb

Antibiotic resistance

Feb 16, 2021 Read More
Angiography Karar haider abd al hussein
26 Jan

Angiography Karar haider abd al hussein

Jan 26, 2021 Read More
20 Jan

Jan 20, 2021 Read More
Assist. Prof.Tabarak Fakhri Hashim Vitamin D and Breast Cancer
17 Jan

Assist. Prof.Tabarak Fakhri Hashim Vitamin D and Breast Cancer

Jan 17, 2021 Read More
  • 1
  • ...
  • 11
  • 12
  • 13
  • 14
  • 15
  • ...
  • 44

Al-Mustaqbal University

Educational Institution affiliated with the Ministry of Higher Education and Scientific Research in Iraq

Important Links

MoHESR of Iraq

Steering Committee

Managers

Academics

Staff Members

Student Help

Studies Systems

Assessment Process

Organization Structure

Rules and regulations

Alumni Information

Research Websites

Scopus

Research Gate

Google Scholar

ORCID

Web Of Science

Help Center

About University

Faculities & Departments

Electonic Gates

UOMUS Guide

Contact us

Al-Mustaqbal University - All Rights Reserved ©2025